It was a hot afternoon, last day of June and the sun was a daemon
(Bobby Goldsboro 1975 in case you are struggling) Dreadful song.
It was a hot afternoon, last day of June 1976. I remember it well. The long hot summer. The local reservoir was so low that it began to reveal the mill, houses and cobblestones of the village that was flooded to create it. On that last day of the month a rain cloud allowed a bit of respite, in the form of a heavy shower.
Jude (Judith) and I went to different schools. She was in the year above me. The gang she hung around with were so much more sophisticated than my mates. We were just silły little teenage boys really; hung up on the Goons, Monty Python, chart music and swailing.
Youth, so wasted on the Young.
What was she like? Well, she had a big personality, big sunny smile and a big boyfriend. Double denim (jeans and denim jacket) just faded perfectly, in all the right places, white t shirt or cheese cloth, leather sandals. Tanned feet and toes. Bracelets and patchouli oi. Long blonde hair and dark sapphire eyes. She was, as my mate Stash recalls a
‘Bonny looking Lass’
We met through a mutual love of art. The local college in a visionary move opened its doors to children of local schools and ran Saturday morning art classes. We used to meet up at the break and discuss music, then we would hang around the town’s alternative Record shop, deliciously dark and subversive place which went by the wonderful name of Black Sedan. And maybe buy a single. Or something from the cheapies box.
Anyway
One Saturday, she announced to my surprise that afternoon, she was going to drop a tab of acid and would I like to come along and see what happens? And ‘no’ her boyfriend wasn’t going to be there unfortunately.
Shame.
Still, she was going to meet up with some friends, have a drink first for ‘Dutch courage ‘ and then go to the primary school down the road where she knew a place you could get through the fence and into the playground. I think she thought, with its painted concrete pipes, swings and roundabouts it would be a good place to trip.
By the time I got there, (l didn’t partake, incidentally) It was me, my mate Stash and Jude. nothing seemed to be happening much. That was, until the spiders arrived. Big ones too. Judging by Judes increasingly hysterical descriptions of them. About four foot long and crawling down the rainbow painted playground concrete pipe! To where Stash me and Jude were sitting keeping dry out of the rain. She was having a very bad trip, with vivid and disturbing hallucinations.
We just stayed with her into the evening, talking to her and trying to keep her calm until she came down.
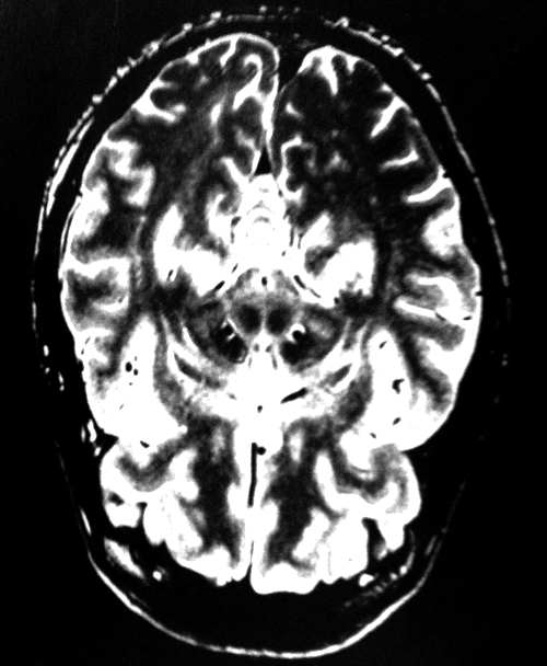
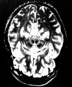
I mention this because just recently (as a long term user of Leva Dopa the main anti Parkinsons drug, whose side effects include hallucinations ) I’ve been getting them too and and it is very wierd. I als often get the the feeling that somebody is always behind my shoulder. Also, any small bits of detritus, crumbs etc will often appear to my cauliflower brain as scuttling little insects.
You just have to rationalise it and tell yourself that they are not really there. It is a bloody good job I’m not scared of spiders I have to say. Mind you if they were four foot long coming down a concrete pipe, I might be forced to reassess my viewpoint.
© Andy Daly 2018









